A group in South Korea has actually validated an AI model for creating upper body x-ray records in an experiment entailing three medical contexts, with greater than 85 % of the reports deemed acceptable, according to a research published September 23 in Radiology
The version’s records had similar reputation to radiologist-written reports as determined by a panel of thoracic radiologists, wrote lead writer Eui Jin Hwang, MD, PhD, of Seoul National University Hospital, and associates.
“AI-generated records are frequently assessed against referral standard records. In this research, rather than preparing reference typical records, seven thoracic radiologists independently analyzed the AI records for professional reputation,” the team noted.
Making use of AI designs developed to produce free-text reports from x-rays is an encouraging application, yet these designs need rigorous analysis, the researchers discussed. To that end, they evaluated a design (KARA-CXR, version 1.0.0. 3, Soombit.ai) that was trained on 8 8 million breast x-ray records from patients older than 15 years across 42 institutions in South Korea and the U.S. The design integrates an abnormality detection classifier with an inscription generator for creating records.
Seven thoracic radiologists reviewed the reports’ reputation based upon a typical criterion (appropriate without alteration or with small revision) and a stringent standard (acceptable without revision). On top of that, they evaluated the radiologists on the capacity for the design to alternative to human clinicians.
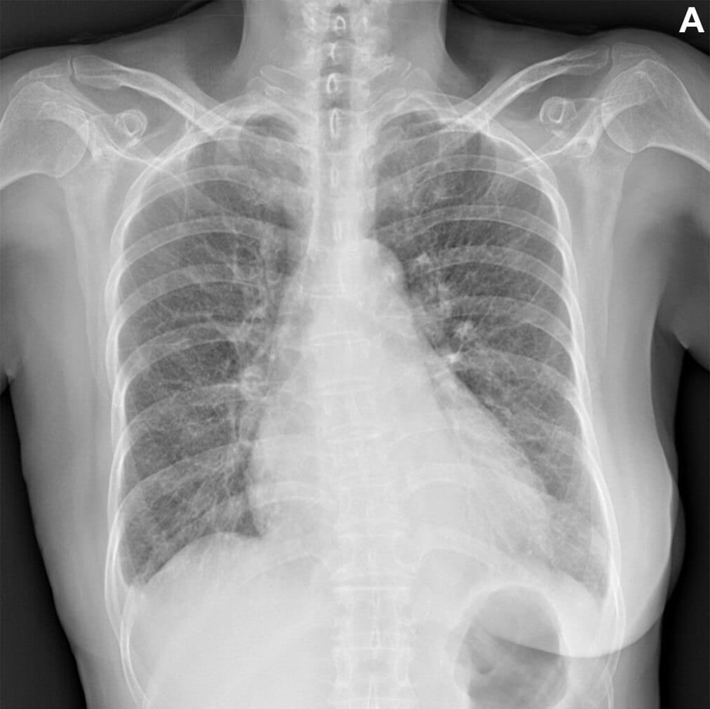
Instance of an acceptable AI– generated breast x-ray report. (A) Anteroposterior chest x-ray in a 68 -year-old female individual that visited the emergency division due to acute-onset dyspnea shows an enlarged heart, reciprocal pleural effusion, and reciprocal interstitial thickening, suggesting cardiac arrest and interstitial pulmonary edema. (B) The AI-generated record properly describes the findings of the x-ray and recommends a feasible medical diagnosis. All 7 thoracic radiologists assessed the AI-generated report as acceptable without revision. RSNA
Additionally, compared with radiologist-written records, AI-generated records recognized x-rays with referable problems with higher level of sensitivity (81 2 % versus 59 4 %; p < < 0. 001, however lower specificity (81 % versus 93 6 %; p < < 0.001 Lastly, in the study, a lot of radiologists indicated that AI-generated records were not yet reputable enough to change radiologist-written records.
“These outcomes indicate that although the AI algorithm satisfies fundamental reporting criteria, it may fall short of higher quality standards,” the researchers wrote.
In an accompanying content , Chen Jiang Wu, MD, PhD, of the First Affiliated Healthcare Facility of Nanjing Medical University in China and Joon Beom Search Engine Optimization, MD, of the University of Ulsan College of Medicine in Seoul composed that AI models that do at this level are located diagnostically between residents and board-certified radiologists, and thus supply practical benefits.
“The results of the research study by Hwang et alia highlight the ability of an AI version to expedite coverage and maintain foundational quality in constrained or urgent setups,” they created.
With durable safeguards– including safety protocols, regulative adherence, standardized appraisals, pragmatic implementation strategies, and developments in multimodal big language designs– AI stands to optimize effectiveness, ease work in stretched systems, and advance international healthcare equity, Wu and Search engine optimization suggested.
“The research study and application of generative AI in radiology remains in a duration of fast development,” they ended. “Allow us anticipate the future.”
The full research is readily available here
